英文誌への投稿を始めたばかりの後期研修医のブログです。
New England Journal of Medicine の「Images in clinical medicine」への掲載を目標に頑張ります。
Posted by Hiroki Matsuura - 2017.03.31,Fri
Clinical PictureがAcceptされました(6本目)
今回は呼吸器感染症として本邦で未だ流行している結核関連のClinical PictureがAcceptされました。
タイトルは「Laryngeal tuberculosis: a forgotten disease」です。
喉頭結核は肺外結核の中でも食道結核についで頻度が低いものの、感染力の強さから公衆衛生上の重大な脅威になり得る疾患です。気管支鏡も自分で実施した症例であり、病巣が見えた瞬間に血の気が引きました。気管支内視鏡中にはどんな大量出血でも動じない&何も言わない副院長(共著者)がぼそっと「やばいな」といったことは一生忘れません。
元記事のリンクはこちら(追記:2017年10月20日)
やはり欧米では結核がほぼ制圧されていることもありClinical Pictureではこれからも狙い目の分野かもしれません。
雑誌は今回も英国内科学会の発行する内科系雑誌「Quarterly Journal of Medicine(IF 3.1)」です。
100本まで残り94本です。
今回は呼吸器感染症として本邦で未だ流行している結核関連のClinical PictureがAcceptされました。
タイトルは「Laryngeal tuberculosis: a forgotten disease」です。
喉頭結核は肺外結核の中でも食道結核についで頻度が低いものの、感染力の強さから公衆衛生上の重大な脅威になり得る疾患です。気管支鏡も自分で実施した症例であり、病巣が見えた瞬間に血の気が引きました。気管支内視鏡中にはどんな大量出血でも動じない&何も言わない副院長(共著者)がぼそっと「やばいな」といったことは一生忘れません。
元記事のリンクはこちら(追記:2017年10月20日)
やはり欧米では結核がほぼ制圧されていることもありClinical Pictureではこれからも狙い目の分野かもしれません。
雑誌は今回も英国内科学会の発行する内科系雑誌「Quarterly Journal of Medicine(IF 3.1)」です。
100本まで残り94本です。
PR
Posted by Hiroki Matsuura - 2017.03.09,Thu
2. プライマリ・ケアの現場で役立つ一発診断100
聖書以外にもClinical Pictureに関連する書籍は多数ありますので紹介しましょう。
一番最初に紹介するのはこちら「プライマリ・ケアの現場で役立つ一発診断100」です。
本書の良いところは非常に簡潔な症例提示に加えて、類似疾患(鑑別疾患)について言及されていることだと考えています。写真もすべてカラーでわかりやすい図解も所々にみられます。
プライマリ・ケアの現場で「明日の診療からすぐに使える」内容が多数です。
初期研修医の皆さんだけでなく、地域医療に従事する全てのプライマリ・ケア医にオススメの一冊です。

聖書以外にもClinical Pictureに関連する書籍は多数ありますので紹介しましょう。
一番最初に紹介するのはこちら「プライマリ・ケアの現場で役立つ一発診断100」です。
本書の良いところは非常に簡潔な症例提示に加えて、類似疾患(鑑別疾患)について言及されていることだと考えています。写真もすべてカラーでわかりやすい図解も所々にみられます。
プライマリ・ケアの現場で「明日の診療からすぐに使える」内容が多数です。
初期研修医の皆さんだけでなく、地域医療に従事する全てのプライマリ・ケア医にオススメの一冊です。
|
プライマリ・ケアの現場で役立つ一発診断100 一目で見ぬく診断の手がかり/宮田靖志/中川紘明【2500円以上送料無料】 価格:4,968円 |
Posted by Hiroki Matsuura - 2017.03.08,Wed
Clinical PictureがAcceptされました(5本目)
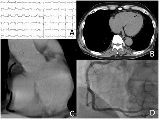
今回は循環器関連の珍しいClinical PictureがAcceptされました。
症例は「Air embolism & CT guided lung biopsy」です。
タイトルから簡単に想像がつくと思いますが本症例はCTガイド下肺生検中に冠動脈に空気塞栓が起こり、一過性の心電図変化と左室及び冠動脈内の空気をとらえたものになっています。
特に冠動脈に迷入した空気を単純CTで捉えており、まるで造影しているかのような画像は一見の価値があります。本来は検査中の事故であるためあまり胸を張って言えることでもないんでしょうが、患者さんにも大きな後遺障害などなく、無事に原疾患の治療も完了できたことから上級医と相談して投稿を決めました。
雑誌は今回も英国内科学会の発行する内科系雑誌「Quarterly Journal of Medicine(IF 3.1)」です。
元記事のリンクはこちら(追記:2017年10月20日)
100本まで残り95本です。
今回は循環器関連の珍しいClinical PictureがAcceptされました。
症例は「Air embolism & CT guided lung biopsy」です。
タイトルから簡単に想像がつくと思いますが本症例はCTガイド下肺生検中に冠動脈に空気塞栓が起こり、一過性の心電図変化と左室及び冠動脈内の空気をとらえたものになっています。
特に冠動脈に迷入した空気を単純CTで捉えており、まるで造影しているかのような画像は一見の価値があります。本来は検査中の事故であるためあまり胸を張って言えることでもないんでしょうが、患者さんにも大きな後遺障害などなく、無事に原疾患の治療も完了できたことから上級医と相談して投稿を決めました。
雑誌は今回も英国内科学会の発行する内科系雑誌「Quarterly Journal of Medicine(IF 3.1)」です。
元記事のリンクはこちら(追記:2017年10月20日)
100本まで残り95本です。
Posted by Hiroki Matsuura - 2017.03.02,Thu
1. みるトレ 感染症
聖書とは一般的にはキリスト教及びユダヤ教の教典のことを指しますが、本ブログでは当然指すものが違います。これからClinical Pictureを投稿しようと考えている諸兄にとっての聖書は「みるトレ 感染症」に他なりません。本書はClinical Pictureをメインに据え、珠玉のCaseが集められた素晴らしい医学書です。特にNEJM(New England Journal of Medicine)への道と題されたコラムは、Clinical Picture の投稿について必要な様々な事柄が取り上げられており必読です。皆様、本日から早速Clinical Pictureの投稿を始めませんか?
みるトレ感染症
出版社:医学書院
ISBN-10: 4260021338
ISBN-13: 978-4260021333

聖書とは一般的にはキリスト教及びユダヤ教の教典のことを指しますが、本ブログでは当然指すものが違います。これからClinical Pictureを投稿しようと考えている諸兄にとっての聖書は「みるトレ 感染症」に他なりません。本書はClinical Pictureをメインに据え、珠玉のCaseが集められた素晴らしい医学書です。特にNEJM(New England Journal of Medicine)への道と題されたコラムは、Clinical Picture の投稿について必要な様々な事柄が取り上げられており必読です。皆様、本日から早速Clinical Pictureの投稿を始めませんか?
みるトレ感染症
出版社:医学書院
ISBN-10: 4260021338
ISBN-13: 978-4260021333
|
価格:4,104円 |
Posted by Hiroki Matsuura - 2017.02.26,Sun
英文誌の略称を知っているとちょっとだけ出来る感がある説
今回は英文誌の略称を紹介します。毎回New England Journal of Medicineとか打ち込むのは結構めんどくさい…。以下に記載する代表的な英文誌の略称を覚えて「Canadian?CMAJね…。」みたいな感じだと上級者感が出ます。たぶん。
・BMJ(British Medical Journal)
・JAMA(Journal of the American Medical Association)
・EHJ(European Heart Journal)
・CID(Clinical Infectious Disease)
・CMAJ(Canadian Medical Association Journal)
・CCJM(Cleveland Clinic Journal of Medicine)
・NJM(Netherland Journal of Medicine)
・PMJ (Postgraduate Medical Journal)
・QJM(Quarterly Journal of Medicine)
・JTM(Journal of Travel Medicine)
・JGIM(Journal of General Internal Medicine)
・CGM(Clinical Gastroenterology and Hepatology)
・AJTMH(American Journal of Tropical Medicine and Hygiene)
・EJIM(European Journal of Internal Medicine)
・AJMS(American Journal of the Medical Sciences)
・IM(Internal Medicine)
随時追記します。
今回は英文誌の略称を紹介します。毎回New England Journal of Medicineとか打ち込むのは結構めんどくさい…。以下に記載する代表的な英文誌の略称を覚えて「Canadian?CMAJね…。」みたいな感じだと上級者感が出ます。たぶん。
Clinical pictureを受け付けている代表的な英文誌の略称
・NEJM(New England Journal of Medice)・BMJ(British Medical Journal)
・JAMA(Journal of the American Medical Association)
・EHJ(European Heart Journal)
・CID(Clinical Infectious Disease)
・CMAJ(Canadian Medical Association Journal)
・CCJM(Cleveland Clinic Journal of Medicine)
・NJM(Netherland Journal of Medicine)
・PMJ (Postgraduate Medical Journal)
・QJM(Quarterly Journal of Medicine)
・JTM(Journal of Travel Medicine)
・JGIM(Journal of General Internal Medicine)
・CGM(Clinical Gastroenterology and Hepatology)
・AJTMH(American Journal of Tropical Medicine and Hygiene)
・EJIM(European Journal of Internal Medicine)
・AJMS(American Journal of the Medical Sciences)
・IM(Internal Medicine)
随時追記します。
プロフィール
HN:
Hiroki Matsuura
性別:
非公開
カテゴリー
最新記事
(08/20)
(10/31)
(09/18)
(07/29)
(07/19)
P R
Template by mavericyard*
Powered by "Samurai Factory"
Powered by "Samurai Factory"
