英文誌への投稿を始めたばかりの後期研修医のブログです。
New England Journal of Medicine の「Images in clinical medicine」への掲載を目標に頑張ります。
Posted by Hiroki Matsuura - 2017.05.01,Mon
Clinical Pictureが掲載されました(2)
先日投稿した「Minocycline-induced hyperpigmentation」がQuarterly Journal of Medicineの5月号に掲載されました。
以下Journal記事のリンクです
「Minocycline-induced hyperpigmentation」

(本症例の患者が別の疾患で入院して来た際の写真です。以前の受診からおよそ2年経過していますが色素沈着は残存しています。:追記2017年11月15日)
QJMには2ヶ月連続の掲載です。
先日投稿した「Minocycline-induced hyperpigmentation」がQuarterly Journal of Medicineの5月号に掲載されました。
以下Journal記事のリンクです
「Minocycline-induced hyperpigmentation」
(本症例の患者が別の疾患で入院して来た際の写真です。以前の受診からおよそ2年経過していますが色素沈着は残存しています。:追記2017年11月15日)
QJMには2ヶ月連続の掲載です。
PR
Posted by Hiroki Matsuura - 2017.04.30,Sun
Clinical PictureがAcceptされました(8本目、9本目)
今回は眼科関連のClinical Pictureが2本同時にAcceptされました。
タイトルは「Kayser-Fleischer ring: Wilson’s disease」「Panda sign: sarcoidosis」です。
Wilson病は国家試験でも頻出の疾患ですが、実際に診る機会は少なく(見逃している?)、早期発見は生命予後に明らかにかかわることが知られている遺伝性疾患です。原因不明の肝障害にくわえ、神経症状を呈する患者がいた場合には尿中銅や血清セルロプラスミンの測定が簡便で有用です。余談ですがKayser-Fleischer ringはつづりが難しく、学生時代に筆記試験で煮え湯を飲まされたことがある方も多いかもしれません。実際投稿時のタイトルを誤ってFreischerにしていたのですが編集者は全く気づいていませんでした。
Sarcoidosisも国家試験頻出の疾患で様々な病態を示す悩ましい疾患です。特に心サルコイドーシスは完全房室ブロックを引き起こし突然死の原因となります。今回はシンチグラフィの画像を提示しましたが、サルコイドーシスの患者ではGa67が眼、唾液腺に集積しやすいという特徴があります。
鼻は生理的集積の範疇ですが、これらをあわせるとまるでGiant Pandaのようにみえるということから、この名が付いています(参照)。なお鑑別疾患としてAIDS、結核、ベーチェット病で同様の所見を示すと言われています。
掲載雑誌はいずれも英国内科学会の発行する内科系雑誌「Quarterly Journal of Medicine(IF 3.1)」になります。
100本まで残り91本です。
今回は眼科関連のClinical Pictureが2本同時にAcceptされました。
タイトルは「Kayser-Fleischer ring: Wilson’s disease」「Panda sign: sarcoidosis」です。
Wilson病は国家試験でも頻出の疾患ですが、実際に診る機会は少なく(見逃している?)、早期発見は生命予後に明らかにかかわることが知られている遺伝性疾患です。原因不明の肝障害にくわえ、神経症状を呈する患者がいた場合には尿中銅や血清セルロプラスミンの測定が簡便で有用です。余談ですがKayser-Fleischer ringはつづりが難しく、学生時代に筆記試験で煮え湯を飲まされたことがある方も多いかもしれません。実際投稿時のタイトルを誤ってFreischerにしていたのですが編集者は全く気づいていませんでした。
Sarcoidosisも国家試験頻出の疾患で様々な病態を示す悩ましい疾患です。特に心サルコイドーシスは完全房室ブロックを引き起こし突然死の原因となります。今回はシンチグラフィの画像を提示しましたが、サルコイドーシスの患者ではGa67が眼、唾液腺に集積しやすいという特徴があります。
鼻は生理的集積の範疇ですが、これらをあわせるとまるでGiant Pandaのようにみえるということから、この名が付いています(参照)。なお鑑別疾患としてAIDS、結核、ベーチェット病で同様の所見を示すと言われています。
掲載雑誌はいずれも英国内科学会の発行する内科系雑誌「Quarterly Journal of Medicine(IF 3.1)」になります。
100本まで残り91本です。
Posted by Hiroki Matsuura - 2017.04.26,Wed
AcceptとReject
論文投稿の際にMajor ArticleでもClinical PictureでもAcceptとRejectについての返信は基本的には変わりません。「Rejectかぁ」と思いきや、実際は違っていたこともありますので文例を紹介していきます。
1.Accept
一番嬉しい英文誌からの返信ですが、基本的にImmediate Accept(即受理)というのは余程のことがなければ起こりえません。
例文1.(QJM):Dear Dr. Matsuura, It is a pleasure to accept your manuscript entitled "Green nail syndrome" in its current form for publication in the QJM: An International Journal of Medicine.…
例文2. (CCJM):Dear Dr. Matsuura, I am pleased to tell you that your work has now been accepted for publication in Cleveland Clinic Journal of Medicine.…
まぁ似たような文面ですね。これに今後の方針などが記載されています。
例文3.(QJM):In order to publish your article, Oxford University Press requires that you complete a licence agreement online. A link to the online licensing system, and instructions on how to select and complete a licence, will be provided to you by the Production Editor at Oxford University Press in due course.
「著作権委譲などについて案内が送られてきますよ~後日フォームを送るのでチェックしてくださいね」といった案内がAcceptのメールに付いています。案内は早くて数日後に送られてきますが遅いと1ヶ月から2ヶ月かかるところもザラです。
続きます
論文投稿の際にMajor ArticleでもClinical PictureでもAcceptとRejectについての返信は基本的には変わりません。「Rejectかぁ」と思いきや、実際は違っていたこともありますので文例を紹介していきます。
1.Accept
一番嬉しい英文誌からの返信ですが、基本的にImmediate Accept(即受理)というのは余程のことがなければ起こりえません。
例文1.(QJM):Dear Dr. Matsuura, It is a pleasure to accept your manuscript entitled "Green nail syndrome" in its current form for publication in the QJM: An International Journal of Medicine.…
例文2. (CCJM):Dear Dr. Matsuura, I am pleased to tell you that your work has now been accepted for publication in Cleveland Clinic Journal of Medicine.…
まぁ似たような文面ですね。これに今後の方針などが記載されています。
例文3.(QJM):In order to publish your article, Oxford University Press requires that you complete a licence agreement online. A link to the online licensing system, and instructions on how to select and complete a licence, will be provided to you by the Production Editor at Oxford University Press in due course.
「著作権委譲などについて案内が送られてきますよ~後日フォームを送るのでチェックしてくださいね」といった案内がAcceptのメールに付いています。案内は早くて数日後に送られてきますが遅いと1ヶ月から2ヶ月かかるところもザラです。
続きます
Posted by Hiroki Matsuura - 2017.04.12,Wed
1. 内科レジデントの鉄則
ここでは初期研修医の皆さんにオススメしたい書籍を紹介します。
一番最初に紹介する書籍は「内科レジデントの鉄則」です。
残念ながら国家試験の知識が即座に臨床の現場で役立つことはあまりありません。
本書では補液や栄養から、病棟急変時の対応など、「基本的」な事柄が丁寧に説明されています。
これまで永らく改訂されず内容的に古くなっていた本書ですが2018年5月に改訂第3版が発売されました。初期研修医になったら必ず読むべき一冊です。

ここでは初期研修医の皆さんにオススメしたい書籍を紹介します。
一番最初に紹介する書籍は「内科レジデントの鉄則」です。
残念ながら国家試験の知識が即座に臨床の現場で役立つことはあまりありません。
本書では補液や栄養から、病棟急変時の対応など、「基本的」な事柄が丁寧に説明されています。
これまで永らく改訂されず内容的に古くなっていた本書ですが2018年5月に改訂第3版が発売されました。初期研修医になったら必ず読むべき一冊です。
|
内科レジデントの鉄則 第3版 [ 聖路加国際病院内科チーフレジデント ] 価格:4,104円 |
Posted by Hiroki Matsuura - 2017.04.01,Sat
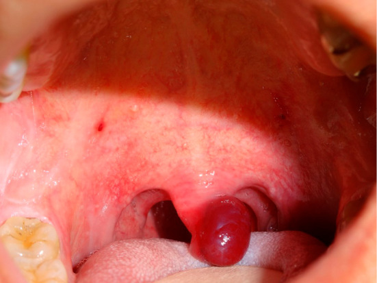
Clinical PictureがAcceptされました(7本目)
2日連続の吉報です。
今回は耳鼻科領域の非常に珍しいClinical PictureがAcceptされました。
タイトルは「Uvula hematoma」です。
掲載雑誌は日本内科学会が発行する英文誌「Internal Medicine(IF 0.815)」です。
Uvula hematoma(口蓋垂血種)は血小板減少性紫斑病などの患者や気管挿管に関連した外傷によって生じることがある珍しい疾患で、過去には血種によって気道がふさがれ窒息したという症例報告がちらほら見られます。文献自体も非常に少なく、和文では60年前のものが数例引っかかる程度でした。
さて口腔内の写真撮影は聖書でも述べられているように非常に難しく、根気強さと患者の我慢強さがカギになります。かなり苦痛を伴いますので、しっかりとした説明が不可欠です。
ただし苦労のかいあってか過去に紹介されたいずれの論文よりも写真は美しく、綺麗だと断言できます。乞うご期待!
元記事のリンクはこちら(追記:2018年4月20日)
どうですか、見事な写真でしょう!
今回は他誌でRejectをくらい続けたこともありスライド投稿を繰り返した結果、Acceptに至りました。NEJM→Mayo Clinic Proceeding→QJM→IM。お蔵入りにならずほっとしました。
100本まで残り93本です。
2日連続の吉報です。
今回は耳鼻科領域の非常に珍しいClinical PictureがAcceptされました。
タイトルは「Uvula hematoma」です。
掲載雑誌は日本内科学会が発行する英文誌「Internal Medicine(IF 0.815)」です。
Uvula hematoma(口蓋垂血種)は血小板減少性紫斑病などの患者や気管挿管に関連した外傷によって生じることがある珍しい疾患で、過去には血種によって気道がふさがれ窒息したという症例報告がちらほら見られます。文献自体も非常に少なく、和文では60年前のものが数例引っかかる程度でした。
さて口腔内の写真撮影は聖書でも述べられているように非常に難しく、根気強さと患者の我慢強さがカギになります。かなり苦痛を伴いますので、しっかりとした説明が不可欠です。
ただし苦労のかいあってか過去に紹介されたいずれの論文よりも写真は美しく、綺麗だと断言できます。乞うご期待!
元記事のリンクはこちら(追記:2018年4月20日)
どうですか、見事な写真でしょう!
今回は他誌でRejectをくらい続けたこともありスライド投稿を繰り返した結果、Acceptに至りました。NEJM→Mayo Clinic Proceeding→QJM→IM。お蔵入りにならずほっとしました。
100本まで残り93本です。
プロフィール
HN:
Hiroki Matsuura
性別:
非公開
カテゴリー
最新記事
(02/10)
(08/20)
(10/31)
(09/18)
(07/29)
P R
Template by mavericyard*
Powered by "Samurai Factory"
Powered by "Samurai Factory"
