日本内科学会雑誌の6月号に1例報告が掲載されました。
タイトルは「多発肝動脈瘤破裂による胆道出血を来したANCA関連血管炎の1例」
英語タイトルは「Case report; A case of ANCA associated vasculitis with hemobilia due to rupture of the hepatic artery aneurysm」です。
初期研修医時代に地方会で発表した本症例ですが、肝動脈瘤を合併するANCA関連血管炎として非常に珍しい症例でした。掲載に至るまでは紆余曲折あり非常に苦労しましたが、上級医の先生方の熱心な指導により掲載に至りました。
しかし本ブログは英文誌への投稿を趣旨としているので…1本に数えたいけど…断腸の想いで1本には含めません!
今回は皮膚科疾患のClinical PictureがAcceptされました。
タイトルは「Green nail syndrome」で掲載雑誌はまたまたまた英国内科学会の発行する内科系雑誌「Quarterly Journal of Medicine(IF 3.1)」です。
まさに名前の通り、緑膿菌感染に伴い爪が緑色に着色する疾患ですが、手指が水に長時間曝露される職業の方に起こりやすい疾患です。特にネイリストでは職業病といっても過言ではないようですね。本症の予防や治療は爪を乾燥させることなのですが、再発や治療に難渋するケースも多いと報告されています。ちなみに本症に関してはそもそも文献自体が非常に少なく明確な治療法なども完全には定まっていないようです。本症の治療方法としては抗菌薬塗布や抗菌薬内服、抜爪が行われてきました。近年では点眼抗菌薬の浸透療法の有効性がある程度示されています。
100本まで残り89本です。
先日投稿した「Diospyrobezoar and a fondness for persimmons」がQuarterly Journal of Medicineの6月号に掲載されました。
皆さんも柿の食べ過ぎには注意してください。
以下Journal記事のリンクです。
「Diospyrobezoar and a fondness for persimmons」
QJMには3ヶ月連続の掲載です。
今回は外科的緊急疾患のClinical PictureがAcceptされました。
記念すべき10本目です。100本はなかなか遠い!
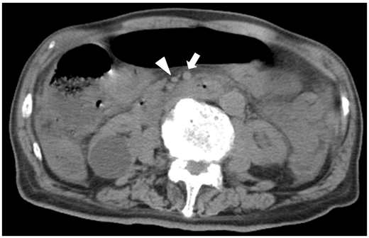
タイトルは「Imaging, Superior Mesenteric Vein (SMV) sign & bowel ischaemia」で掲載誌は英国内科学会の発行する内科系雑誌「Quarterly Journal of Medicine(IF 3.1)」です。
絞扼性イレウスやNOMI、そして今回の投稿症例である上腸間膜動脈閉塞症など腸管虚血を来たす疾患では、腹膜刺激徴候を伴わない激烈な疼痛(腸管穿孔に至っていない場合)を来たすのが特徴です。造影CTを撮影しなければ診断できない場合が多いのですが、単純CTしかとれない場合でも有用な所見として今回Acceptされた「Smaller SMV sign」があります。本来ならばSMA径のほうが細くなるのですが、静脈系の還流障害でSMVへの血流流量が減少し、SMA径に比べてSMV径が小さくなる逆転現象が起きます。
なお今回の投稿でわかったこととして、どうやら「Smaller SMV sign」は日本独自の表現のようです。投稿の際には「Smaller SMV sign」で投稿しましたが、Reviewerよりタイトルを修正するように指示がありました。実際にPubmedで検索してみましたが「Smaller SMV sign」という表現は全く検索にかかりませんでした。
元記事のリンクはこちら(追記:2018年4月20日)
100本まで残り90本です。
論文投稿の際に必要なものにCover letterがあります。
そもそもCover letterとは簡潔にいうと挨拶文を指します。
Cover letter自体は「お作法」に近いもので、形式はどの雑誌も同様ですが不備があると大変失礼です。
テンプレートを作りましょう。
実際に私が投稿した際に送付したCover letterを参考にしてください。
※雑誌名、編集者は雑誌毎に異なります。間違えないように注意してください!
Editor in-chief
Professor Seamas Donnelly
Quarterly Journal of Medicine
Dear Prof. Seamas Donnelly
Please find our manuscript entitled “Gastric Anisakiasis”, which we would like to submit for publication as clinical pictures in Quarterly Journal of Medicine.
Although most cases of anisakiasis was reported from Japan in the past, as the Japanese style fresh, raw or undercooked seafood, such as ‘sushi’ and ‘sashimi’ has become popular, and the consumption of raw fish has increased globally, it has been recognized in other parts of the world. We believe that doctors having seen this typical case of gastric anisakiasis once they would be able to suspect and recognize it subsequently. This case is simple, but it is valuable.
I strongly believe that I have fulfilled the conditions of the journal regarding contribution to the concept, design, and drafting of the manuscript.
Thank you for your consideration. I look forward to hearing from you.
Yours sincerely,
Hiroki Matsuura, MD
Senior resident
The corresponding author is: Hiroki Matsuura, MD,
Mitoyo General Hospital
Address: 708, Himehama, Toyohama-cho, Kanonji-city, Kagawa, 769-1695 Japan
Tel: +81-875-52-3366, Fax: +81-875-52-4936
E-mail: superonewex0506@yahoo.co.jp
Powered by "Samurai Factory"
