英文誌への投稿を始めたばかりの後期研修医のブログです。
New England Journal of Medicine の「Images in clinical medicine」への掲載を目標に頑張ります。
Posted by Hiroki Matsuura - 2017.07.16,Sun
Clinical PictureがAcceptされました(15本目)
今回は非常に珍しい感染症のClinical PictureがAcceptされました。
タイトルは「An imported case of leprosy in a trainee from Indonesia to Japan」で掲載雑誌はまたまたまたまた英国内科学会の発行する内科系雑誌「Quarterly Journal of Medicine(IF 3.1)」です。
タイトルの通り、外国人技能実習制度で来日されたインドネシア人男性がハンセン病と診断されたCaseについての簡単な報告です。ハンセン病に関しては御存知の通り、非常に長期にわたる差別の歴史について語られることが多い疾患ですが、衛生状態の改善した現在では、本邦を含めた先進各国において新規患者発生はほとんどありません(ほとんどが本症例のような輸入例)。そのため臨床像については「末梢神経障害を起こし、皮膚など体表面に潰瘍など変形を来たす非常に珍しい抗酸菌感染症」といった文言で知られているものの、実際に臨床で出会える機会というのは極めて稀であるといわざるをえません。
ハンセン病は病型が様々あり、特徴的な皮膚所見を呈するものがあります。本症例では感覚鈍麻を生じた白斑が主体(実は頸部の大耳介神経も肥厚しているのですが写真がぶれていて使い物になりませんでした)であり一見、薬剤による白斑や尋常性白斑を想起しがちになりますが、生検された皮膚からPCRでMycobacterium lepraeが検出され診断に至っています。
元記事のリンクはこちら(追記:2018年4月20日)
偉そうに能書きをたれていますが、正直なところ本症例に出会うまでは本症の臨床像について何も知りませんでした。Clinical pictureを書き始めて本当に学んだことの多い疾患です(特に疾患自体の負の歴史も含めて…もののけ姫の見方が変わります)。
今回の症例を書き上げるにあたっては三豊総合病院皮膚科の先生方のご協力がなければ不可能でした。本当にありがとうございました。
Clinical pictureの醍醐味と言えるようなCaseです。
100本まで残り85本です。
今回は非常に珍しい感染症のClinical PictureがAcceptされました。
タイトルは「An imported case of leprosy in a trainee from Indonesia to Japan」で掲載雑誌はまたまたまたまた英国内科学会の発行する内科系雑誌「Quarterly Journal of Medicine(IF 3.1)」です。
タイトルの通り、外国人技能実習制度で来日されたインドネシア人男性がハンセン病と診断されたCaseについての簡単な報告です。ハンセン病に関しては御存知の通り、非常に長期にわたる差別の歴史について語られることが多い疾患ですが、衛生状態の改善した現在では、本邦を含めた先進各国において新規患者発生はほとんどありません(ほとんどが本症例のような輸入例)。そのため臨床像については「末梢神経障害を起こし、皮膚など体表面に潰瘍など変形を来たす非常に珍しい抗酸菌感染症」といった文言で知られているものの、実際に臨床で出会える機会というのは極めて稀であるといわざるをえません。
ハンセン病は病型が様々あり、特徴的な皮膚所見を呈するものがあります。本症例では感覚鈍麻を生じた白斑が主体(実は頸部の大耳介神経も肥厚しているのですが写真がぶれていて使い物になりませんでした)であり一見、薬剤による白斑や尋常性白斑を想起しがちになりますが、生検された皮膚からPCRでMycobacterium lepraeが検出され診断に至っています。
元記事のリンクはこちら(追記:2018年4月20日)
偉そうに能書きをたれていますが、正直なところ本症例に出会うまでは本症の臨床像について何も知りませんでした。Clinical pictureを書き始めて本当に学んだことの多い疾患です(特に疾患自体の負の歴史も含めて…もののけ姫の見方が変わります)。
今回の症例を書き上げるにあたっては三豊総合病院皮膚科の先生方のご協力がなければ不可能でした。本当にありがとうございました。
Clinical pictureの醍醐味と言えるようなCaseです。
100本まで残り85本です。
PR
Posted by Hiroki Matsuura - 2017.07.04,Tue
Clinical PictureがAcceptされました(14本目)
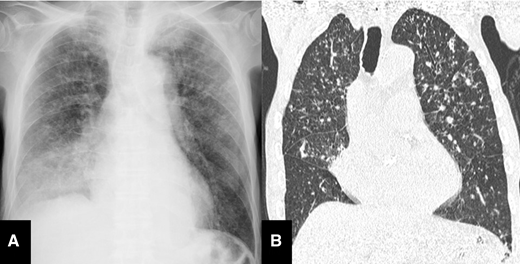
今回はCommonな感染症のClinical PictureがAcceptされました。
タイトルは「Milirary Tuberculosis」で掲載雑誌はまたまたまたまた英国内科学会の発行する内科系雑誌「Quarterly Journal of Medicine(IF 3.1)」です。
日本ではまだまだ制圧しきれていない結核関連のClinical Pictureです。誰もが教科書で見たことのある横断面ではなく、あえて胸写と比較した冠状断で目新しさを出してみました。
元記事のリンクはこちら(追記:2018年4月20日)
やはり結核は公衆衛生上絶対に診断が遅れてはいけない感染症になるので重要性が高く、また欧米と日本の疫学の違いからClinical Pictureでは狙い目の分野と言えるでしょう。
100本まで残り86本です。
今回はCommonな感染症のClinical PictureがAcceptされました。
タイトルは「Milirary Tuberculosis」で掲載雑誌はまたまたまたまた英国内科学会の発行する内科系雑誌「Quarterly Journal of Medicine(IF 3.1)」です。
日本ではまだまだ制圧しきれていない結核関連のClinical Pictureです。誰もが教科書で見たことのある横断面ではなく、あえて胸写と比較した冠状断で目新しさを出してみました。
元記事のリンクはこちら(追記:2018年4月20日)
やはり結核は公衆衛生上絶対に診断が遅れてはいけない感染症になるので重要性が高く、また欧米と日本の疫学の違いからClinical Pictureでは狙い目の分野と言えるでしょう。
100本まで残り86本です。
Posted by Hiroki Matsuura - 2017.07.01,Sat
Clinical Pictureが掲載されました(4)
先日投稿した「Air Embolism and CT-guided lung biopsy」がQuarterly Journal of Medicineの7月号に掲載されました。
なかなか衝撃の写真です。
以下Journal記事のリンクです。
「Air Embolism and CT-guided lung biopsy」
QJMには4ヶ月連続の掲載です。
目指せ1年Complete!
先日投稿した「Air Embolism and CT-guided lung biopsy」がQuarterly Journal of Medicineの7月号に掲載されました。
なかなか衝撃の写真です。
以下Journal記事のリンクです。
「Air Embolism and CT-guided lung biopsy」
QJMには4ヶ月連続の掲載です。
目指せ1年Complete!
Posted by Hiroki Matsuura - 2017.06.27,Tue
Clinical PictureがAcceptされました(13本目)
今回は腎臓疾患のClinical PictureがAcceptされました。
タイトルは「Lindsay's nail」で掲載雑誌はまたまたまたまた英国内科学会の発行する内科系雑誌「Quarterly Journal of Medicine(IF 3.1)」です。
なかなか知られていない末期腎不全患者の爪の変化です。報告者の名前をとってLindsay's nailと呼ばれています。他にHalf and half nailという呼び方があります。本症は紹介されている文献が非常に少ないです。末期腎不全で透析を受けている患者のおよそ20%(文献によっては20-50%)に爪床変化があらわれるので、お近くの患者さんで是非確認をしてみてください。余談ですが腎移植すると改善する例があるそうです。案の定NEJMには過去問がありました。
当院での別症例です(追記:2017年8月27日)。
今回の症例は医師になりたての初期研修医が見つけてくれました。身体所見の大切さと先人のたゆまぬ努力を理解していただけたらと思います。
100本まで残り87本です。
今回は腎臓疾患のClinical PictureがAcceptされました。
タイトルは「Lindsay's nail」で掲載雑誌はまたまたまたまた英国内科学会の発行する内科系雑誌「Quarterly Journal of Medicine(IF 3.1)」です。
なかなか知られていない末期腎不全患者の爪の変化です。報告者の名前をとってLindsay's nailと呼ばれています。他にHalf and half nailという呼び方があります。本症は紹介されている文献が非常に少ないです。末期腎不全で透析を受けている患者のおよそ20%(文献によっては20-50%)に爪床変化があらわれるので、お近くの患者さんで是非確認をしてみてください。余談ですが腎移植すると改善する例があるそうです。案の定NEJMには過去問がありました。
当院での別症例です(追記:2017年8月27日)。
今回の症例は医師になりたての初期研修医が見つけてくれました。身体所見の大切さと先人のたゆまぬ努力を理解していただけたらと思います。
100本まで残り87本です。
Posted by Hiroki Matsuura - 2017.06.22,Thu
Clinical PictureがAcceptされました(12本目)
今回は消化器疾患のClinical PictureがAcceptされました。
タイトルは「Chilaiditi syndrome;gas under the right diaphragm」です。
掲載雑誌は世界的に著明な米国の医療機関であるCleveland Clinicが発行する内科系雑誌「Cleveland Clinic Journal of Medicine(IF 1.8)」です。
症例はFree airとの鑑別が重要な疾患で胸部レントゲンで右横隔膜下にみえるAirが特徴的なChilaiditi syndromeについてです。Chilaiditi signはギリシャの放射線科医師 Demetrius Chilaiditi(キライディティ)によって報告されました。肝臓と右横隔膜の間に結腸が嵌入することで生じるのですが、無症候性のものをChilaiditi sign、症候性のものをChilaiditi syndromeと呼称します。
Chilaiditi症候群では上記のような状況にて一過性の便通異常や腹痛などの腹部症状を伴う他、本症例のように絞扼性腸閉塞を生じる場合があります。結腸(まれに小腸)が嵌まり込む原因として加齢やアルコールなどによる肝臓の萎縮や切除、上行結腸の固定が生まれつき緩い場合や、横隔神経麻痺などで横隔膜が弛緩していることなど複数の要因が関与するようです。なお健康診断のレントゲンで健康成人の10万人に2人がChilaiditi signを呈していたとの報告がありますが、実感としては遭遇する機会はもう少し多い印象です。ちなみにCTの存在しなかった時代には右横隔膜下のAirがFree airと勘違いされ、開腹に至ってしまった不幸な症例も報告されています(2020年7月25日追記)。
実はこの英文投稿を始めて一番最初にMinor revisionをいただいた雑誌になります。他誌に合計7回ものRejectをくらい続け、最後にダメもとでCCJMに出してみました。まさに捨てる神あれば拾う神あり…。2016年12月の末に提出してから、6か月の間に3回修正と加筆をしAcceptまで漕ぎ付けました。
100本まで残り88本です。
今回は消化器疾患のClinical PictureがAcceptされました。
タイトルは「Chilaiditi syndrome;gas under the right diaphragm」です。
掲載雑誌は世界的に著明な米国の医療機関であるCleveland Clinicが発行する内科系雑誌「Cleveland Clinic Journal of Medicine(IF 1.8)」です。
症例はFree airとの鑑別が重要な疾患で胸部レントゲンで右横隔膜下にみえるAirが特徴的なChilaiditi syndromeについてです。Chilaiditi signはギリシャの放射線科医師 Demetrius Chilaiditi(キライディティ)によって報告されました。肝臓と右横隔膜の間に結腸が嵌入することで生じるのですが、無症候性のものをChilaiditi sign、症候性のものをChilaiditi syndromeと呼称します。
Chilaiditi症候群では上記のような状況にて一過性の便通異常や腹痛などの腹部症状を伴う他、本症例のように絞扼性腸閉塞を生じる場合があります。結腸(まれに小腸)が嵌まり込む原因として加齢やアルコールなどによる肝臓の萎縮や切除、上行結腸の固定が生まれつき緩い場合や、横隔神経麻痺などで横隔膜が弛緩していることなど複数の要因が関与するようです。なお健康診断のレントゲンで健康成人の10万人に2人がChilaiditi signを呈していたとの報告がありますが、実感としては遭遇する機会はもう少し多い印象です。ちなみにCTの存在しなかった時代には右横隔膜下のAirがFree airと勘違いされ、開腹に至ってしまった不幸な症例も報告されています(2020年7月25日追記)。
実はこの英文投稿を始めて一番最初にMinor revisionをいただいた雑誌になります。他誌に合計7回ものRejectをくらい続け、最後にダメもとでCCJMに出してみました。まさに捨てる神あれば拾う神あり…。2016年12月の末に提出してから、6か月の間に3回修正と加筆をしAcceptまで漕ぎ付けました。
100本まで残り88本です。
プロフィール
HN:
Hiroki Matsuura
性別:
非公開
カテゴリー
最新記事
(02/10)
(08/20)
(10/31)
(09/18)
(07/29)
P R
Template by mavericyard*
Powered by "Samurai Factory"
Powered by "Samurai Factory"
