英文誌への投稿を始めたばかりの後期研修医のブログです。
New England Journal of Medicine の「Images in clinical medicine」への掲載を目標に頑張ります。
Posted by Hiroki Matsuura - 2018.04.06,Fri
Clinical Pictureが掲載されました(19)
先日アクセプトされました「Idiopathic mesenteric phlebosclerosis」がQuarterly Journal of Medicineの4月号に掲載されています。
残念ながら3月号ではClinical Pictureの掲載に至らず、目標であった12か月連続掲載とはならなかったものの、気持ちを新たに投稿に励みたいと思います。
以下Journal記事のリンクです。
「Idiopathic mesenteric phlebosclerosis」
先日アクセプトされました「Idiopathic mesenteric phlebosclerosis」がQuarterly Journal of Medicineの4月号に掲載されています。
残念ながら3月号ではClinical Pictureの掲載に至らず、目標であった12か月連続掲載とはならなかったものの、気持ちを新たに投稿に励みたいと思います。
以下Journal記事のリンクです。
「Idiopathic mesenteric phlebosclerosis」
PR
Posted by Hiroki Matsuura - 2018.04.03,Tue
Clinical Pictureが掲載されました(18)
先日アクセプトされました「Acute disseminated encephalomyelitis following HSV meningoencephalitis in adult」がAmerican Journal of MedicineのAdvance articleで掲載されています。
最近はRejectの嵐でほとんど更新できていません。
新年度はどんな症例と出会えるのでしょうか。
先日アクセプトされました「Acute disseminated encephalomyelitis following HSV meningoencephalitis in adult」がAmerican Journal of MedicineのAdvance articleで掲載されています。
最近はRejectの嵐でほとんど更新できていません。
新年度はどんな症例と出会えるのでしょうか。
以下Journal記事のリンクです。
American Journal of Medicine
Clinical communication to the editor
「Acute disseminated encephalomyelitis following HSV meningoencephalitis in adult」
「Acute disseminated encephalomyelitis following HSV meningoencephalitis in adult」
Posted by Hiroki Matsuura - 2018.03.13,Tue
Clinical PictureがAcceptされました(34本目)
今回は感染に伴う脱髄疾患に関連するClinical PictureがAcceptされました。
タイトルは「Acute disseminated encephalomyelitis following HSV meningoencephalitis in adult」です。
Acute disseminated encephalomyelitis (ADEM)は日本語で急性散在性脳脊髄炎と呼ばれ、感染あるいはワクチン接種後に発症する比較的稀な脱髄性疾患として知られています。
原因となる病原体は多岐にわたり、麻疹、風疹、ムンプス、各種肝炎、HSV、CMV、EBV、HIVなどのウイルス感染にくわえ、マイコプラズマやサルモネラ、レジオネラ、カンピロバクターによる症例報告もあります。
上記にくわえ予防接種に続発する場合が多く、ADEMが小児に多い理由の一つとして予防接種を受ける回数が成人に比べて多いことが挙げられています。
今回の症例ではヘルペス髄膜炎に続発したADEMを報告しています。経過としては髄膜炎に罹患後にリハビリ中に突然の膀胱直腸障害と多発ニューロパチー、傾眠傾向があらわれたためMRIを撮影して診断に至りました。ADEMと多発性硬化症(MS)は類縁疾患と考えられており、症状や画像所見も酷似しています。見分け方としてMRIにおけるADEMの頭蓋内病変は「MSに比べて辺縁がはっきりしている」という何とも微妙な違いがあるそうです。
ADEMの予後は70-90%で回復し基本的に良好と考えられていますが、異常行動やIQの低下する症例が認められるほか、MSを続発した症例が数%あるとする報告もあります。
掲載雑誌は“Green Jounal”という別称をもつ著名な内科系雑誌「American Journal of Medicine (IF 5.55)」です。
100本まで残り66本です。
今回は感染に伴う脱髄疾患に関連するClinical PictureがAcceptされました。
タイトルは「Acute disseminated encephalomyelitis following HSV meningoencephalitis in adult」です。
Acute disseminated encephalomyelitis (ADEM)は日本語で急性散在性脳脊髄炎と呼ばれ、感染あるいはワクチン接種後に発症する比較的稀な脱髄性疾患として知られています。
原因となる病原体は多岐にわたり、麻疹、風疹、ムンプス、各種肝炎、HSV、CMV、EBV、HIVなどのウイルス感染にくわえ、マイコプラズマやサルモネラ、レジオネラ、カンピロバクターによる症例報告もあります。
上記にくわえ予防接種に続発する場合が多く、ADEMが小児に多い理由の一つとして予防接種を受ける回数が成人に比べて多いことが挙げられています。
今回の症例ではヘルペス髄膜炎に続発したADEMを報告しています。経過としては髄膜炎に罹患後にリハビリ中に突然の膀胱直腸障害と多発ニューロパチー、傾眠傾向があらわれたためMRIを撮影して診断に至りました。ADEMと多発性硬化症(MS)は類縁疾患と考えられており、症状や画像所見も酷似しています。見分け方としてMRIにおけるADEMの頭蓋内病変は「MSに比べて辺縁がはっきりしている」という何とも微妙な違いがあるそうです。
ADEMの予後は70-90%で回復し基本的に良好と考えられていますが、異常行動やIQの低下する症例が認められるほか、MSを続発した症例が数%あるとする報告もあります。
掲載雑誌は“Green Jounal”という別称をもつ著名な内科系雑誌「American Journal of Medicine (IF 5.55)」です。
100本まで残り66本です。
Posted by Hiroki Matsuura - 2018.03.01,Thu
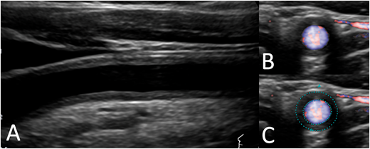
Clinical PictureがAcceptされました(33本目)
今回は高安動脈炎に特徴的な血管所見に関するClinical PictureがAcceptされました。
タイトルは「Macaroni sign: Takayasu arteritis」です。
掲載雑誌は久々に英国内科学会の発行する内科系雑誌「Quarterly Journal of Medicine(IF 3.1)」です。
高安動脈炎は大動脈に炎症を生じる自己免疫性疾患であり、1908年に高安 右人 先生により初めて報告された疾患です。
20代から40代の若年女性に多く、未だその原因は不明です。
病初期では微熱や倦怠感など不定愁訴様の症状がメインであり診断が難しい疾患です。
その他詳細は成書を参照していただきたいのですが、脈拍の消失や血圧の左右差など特徴的な身体所見が存在し、「脈なし病」とも呼ばれます。
今回高安動脈炎のClinical Pictureについて強調したい点が一つあります。
高安動脈炎の診断が難しい理由の一つに疾患の発見から1世紀が経過した現在でも「特異的な血液検査や抗体検査が存在しない」ことが挙げられます。
身体所見から高安動脈炎を疑った場合には血管造影やCT、MRIなどが有用です。
その中でも頸動脈エコーは侵襲性が低く、今回取り上げた全周性の血管壁肥厚(Macaroni sign)を検出できれば確定診断にぐっと近づきます。
普段の外来で橈骨動脈を両側触知していますか?
ヒントはすぐそこに転がっているかもしれません。
100本まで残り67本です。
Posted by Hiroki Matsuura - 2018.03.01,Thu
4. あたらしい皮膚科学(第3版)
Snap diagnosisといえば皮膚科、皮膚科といえば「あたらしい皮膚科学」といっても過言ではないほど本書のQualityは他の皮膚科教科書の追随を全く許しません。Commonな疾患から稀な疾患まで、美しい写真と解説が纏められています。
「お高いんでしょ…?」
いえいえそんなことはありません。
なんとお値段 7800円(税抜)と破格の安さです!
内科系疾患で皮膚に所見が認められる場合がしばしばあります。
発疹をみたとき思考停止して「湿疹」「薬疹」「中毒疹」などとゴミ箱診断を下していると肝心な疾患を見逃すことに繋がります。目に見える所見を大事にして診断に結び付けてください。

Snap diagnosisといえば皮膚科、皮膚科といえば「あたらしい皮膚科学」といっても過言ではないほど本書のQualityは他の皮膚科教科書の追随を全く許しません。Commonな疾患から稀な疾患まで、美しい写真と解説が纏められています。
「お高いんでしょ…?」
いえいえそんなことはありません。
なんとお値段 7800円(税抜)と破格の安さです!
内科系疾患で皮膚に所見が認められる場合がしばしばあります。
発疹をみたとき思考停止して「湿疹」「薬疹」「中毒疹」などとゴミ箱診断を下していると肝心な疾患を見逃すことに繋がります。目に見える所見を大事にして診断に結び付けてください。
|
価格:8,424円 |
プロフィール
HN:
Hiroki Matsuura
性別:
非公開
カテゴリー
最新記事
(02/10)
(08/20)
(10/31)
(09/18)
(07/29)
P R
Template by mavericyard*
Powered by "Samurai Factory"
Powered by "Samurai Factory"
