英文誌への投稿を始めたばかりの後期研修医のブログです。
New England Journal of Medicine の「Images in clinical medicine」への掲載を目標に頑張ります。
Posted by Hiroki Matsuura - 2018.06.09,Sat
Clinical Picture(Case Report)がAcceptされました(38本目)
今回は非常に珍しい細菌による敗血症のCase reportがAcceptされました。タイトルは「Sepsis & Leclercia adecarboxylata」です。
掲載雑誌は英国内科学会の発行する内科学会「Quarterly Journal of Medicine(IF 3.1)」です。本誌にはこれまで多数のClinical Pictureを投稿し掲載に至っておりますが、Case reportがAcceptされたのは今回が初めてです。
「Leclercia adecarboxylata」は1962年に発見され、Escherichia属のひとつとして分類されていましたが、近年の遺伝子研究により遺伝的な差異が大きいことから新属「Leclercia」に再分類された菌種になります。2018年現在同属に分類される細菌は本菌のみです。
さてこのような経緯のある本菌ですがヒトの臨床材料から検出されるCaseは非常に限定的であり、検索した限り2018年4月現在でわずか16報24例しかありません。菌血症のCaseになると10例程度です。本邦に限定すると自験例を含めて3例、菌血症に関しては本邦初の症例報告になります。
これほど珍しい菌種なのですが市販の自動細菌検査機器には同定可能な菌種として収載されているようです。一説には環境中の腸内細菌群の3%弱が本菌であったという報告もあります。
本菌種による菌血症は易感染性宿主で多く、また皮膚バリア機能の破綻が関係しており、戦傷を含む外傷や腹膜透析、経皮カテーテルや蜂窩織炎による症例が報告されています。
本菌の抗菌薬感受性は良好である場合がほとんどですが一部でESBL産生菌や多剤耐性菌が報告されており、特記すべきは養豚場での耐性菌発症例があることです。
近年耐性菌に対するアクションプランが策定され全世界的に抗菌薬適正使用の機運が盛り上がっています。しかし我々医師が不要な抗菌薬処方を減らすだけでは耐性菌の発生は止められません。どうしてもヒトに対する抗菌薬処方について取り上げられがちになりますが、アクションプランには「動物に対する抗菌薬使用」についても記載があります。
本邦を含め世界中で、畜産動物に対する抗菌薬使用がかなり酷い状況であることは以下を一瞥していただければ即座にご理解いただけるかと思います。古いデータになりますが2002年にヒトに使用された抗菌薬は509トン、一方動物に対しては994トンとヒトの2倍程度が使用されており、そのうち成長促進目的の抗菌薬添加飼料が168トン、農薬として371トンが使用されています。このような環境下では様々な細菌が抗菌薬曝露に伴い耐性化していくのは火を見るより明らかです。
本菌は確かに「珍しい」菌種ではありますが、「珍しい症例でした、報告終わりです」ではなんの意義もありません。この珍しい菌種でさえ「耐性化」が進んできており、畜産動物に対する抗菌薬使用への問題提起と継続的なモニタリングが重要であることを医療従事者に知らせるために本症例をまとめました。
耐性菌の発生予防は世界的な問題です。ひとりひとりの意識の変化で確実に変わります。まずは「とりあえずクラビット」「ねんのためメイアクト」「カゼだからセフジトレンピボキシル」をやめませんか。私はこの3年クラビットは一回も処方していません(研修医になってからは日本紅斑熱と他剤にアレルギーのある患者に数回処方したのみです)。
なお本症例は2018年5月末から6月にかけて開催されました日本感染症学会にてポスター発表させていただきました。「学会発表」で終わり、というのは少々もったいないと思います。発表したものをぜひぜひ「論文」として形にしましょう。
100本まで残り62本です。
PR
Posted by Hiroki Matsuura - 2018.05.17,Thu
Clinical Picture(Case Report)が掲載されました(20)
先日アクセプトされました「Family Cluster of Japanese Spotted Fever」がAmerican Journal of Tropical Medicine and Hygiene の2018年度 第3集(5-6月号)に掲載されています。
日本紅斑熱をはじめ、ツツガムシ病、ライム病、ダニ媒介性脳炎、アナプラズマ症、重症熱性血小板減少症(SFTS)やクリミア・コンゴ熱などダニ媒介性疾患は世界中で発生が認められており公衆衛生上大きな問題です。
地域の医療従事者だけでなく住民に対して適切な情報提供を行い予防啓発に努めるのも医師としての大きな役割です。特にマダニ咬傷の予防は非常に重要です。これまで日本紅斑熱の非浸淫地域であると考えられた場所であっても身体所見から本症を疑う場合は保健所に連絡し、連携を取りながら積極的に検査を進めてください。
以下Journalの記事です。
American Journal of Tropical Medicine and Hygiene
「Family Cluster of Japanese Spotted Fever」
先日アクセプトされました「Family Cluster of Japanese Spotted Fever」がAmerican Journal of Tropical Medicine and Hygiene の2018年度 第3集(5-6月号)に掲載されています。
日本紅斑熱をはじめ、ツツガムシ病、ライム病、ダニ媒介性脳炎、アナプラズマ症、重症熱性血小板減少症(SFTS)やクリミア・コンゴ熱などダニ媒介性疾患は世界中で発生が認められており公衆衛生上大きな問題です。
地域の医療従事者だけでなく住民に対して適切な情報提供を行い予防啓発に努めるのも医師としての大きな役割です。特にマダニ咬傷の予防は非常に重要です。これまで日本紅斑熱の非浸淫地域であると考えられた場所であっても身体所見から本症を疑う場合は保健所に連絡し、連携を取りながら積極的に検査を進めてください。
以下Journalの記事です。
American Journal of Tropical Medicine and Hygiene
「Family Cluster of Japanese Spotted Fever」
Posted by Hiroki Matsuura - 2018.05.10,Thu
Clinical PictureがAcceptされました(37本目)
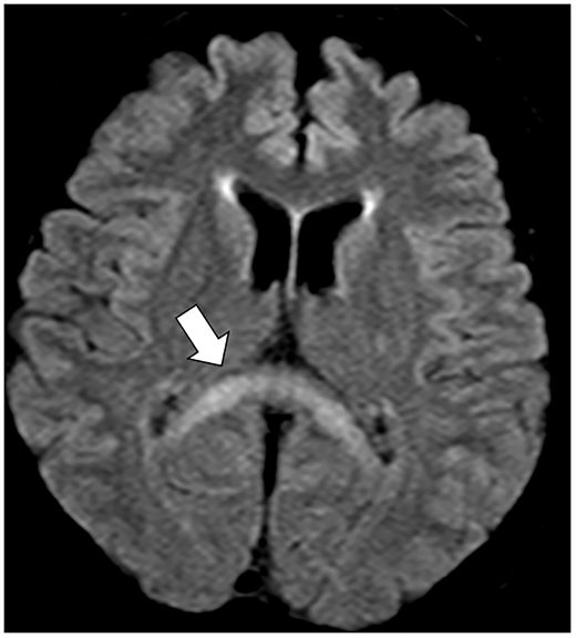
今回は栄養状態が不良、或いは慢性のアルコール多飲者に生じる非常に珍しい脱髄性疾患「Marchiafava-Bignami Disease」のClinical PictureがAcceptされました。タイトルはそのまま「Marchiafava-Bignami Disease」です。
掲載雑誌は久々に英国内科学会の発行する内科系雑誌「Quarterly Journal of Medicine(IF 3.1)」です。
Marchiafava-Bignamiは発見者のイタリア人医師2名の名前を繋げたものであり「マルキアファーヴァ-ビニャミ」と読みます。もともとデイゴ・レッドワイン(安いワイン)を多飲するイタリア人に見られたため風土病と考えられていた時代もあったようですが、現在では世界各地から症例報告がなされています。ごく一部の症例では非アルコール多飲者に生じる場合もあるようです。
意識障害やけいれん、半側空間無視、眼振、失算、失認、失書など多彩な神経所見が急激にあらわれるため本症を知らないとしばしば診断に難渋します。また慢性的なアルコール多飲者における意識障害をきたす疾患としてWernicke-Korsakoff syndromeとの鑑別が必要です。
今回のClinical Pictureでは本症におけるMRIのFLAIRやT2強調画像の特徴的な所見である「脳梁膨大部の左右対称な高信号」を取り上げています。
元記事のリンクはこちら(追記:2020年9月30日)
本症は極めて稀であることから、発見から100年以上経過した現在においても症例の蓄積が十分とは言えません。その知名度の低さから明らかな画像所見が存在するにもかかわらずWernicke-Korsakoff症候群と誤診されている症例も多いと考えられます。
慢性的なアルコール多飲者や栄養不良患者の意識障害、多彩な神経症状を認めた場合には本症を鑑別疾患の一つとして、今後挙げていただければ幸いです。
100本まで残り63本です。
今回は栄養状態が不良、或いは慢性のアルコール多飲者に生じる非常に珍しい脱髄性疾患「Marchiafava-Bignami Disease」のClinical PictureがAcceptされました。タイトルはそのまま「Marchiafava-Bignami Disease」です。
掲載雑誌は久々に英国内科学会の発行する内科系雑誌「Quarterly Journal of Medicine(IF 3.1)」です。
Marchiafava-Bignamiは発見者のイタリア人医師2名の名前を繋げたものであり「マルキアファーヴァ-ビニャミ」と読みます。もともとデイゴ・レッドワイン(安いワイン)を多飲するイタリア人に見られたため風土病と考えられていた時代もあったようですが、現在では世界各地から症例報告がなされています。ごく一部の症例では非アルコール多飲者に生じる場合もあるようです。
意識障害やけいれん、半側空間無視、眼振、失算、失認、失書など多彩な神経所見が急激にあらわれるため本症を知らないとしばしば診断に難渋します。また慢性的なアルコール多飲者における意識障害をきたす疾患としてWernicke-Korsakoff syndromeとの鑑別が必要です。
今回のClinical Pictureでは本症におけるMRIのFLAIRやT2強調画像の特徴的な所見である「脳梁膨大部の左右対称な高信号」を取り上げています。
元記事のリンクはこちら(追記:2020年9月30日)
本症は極めて稀であることから、発見から100年以上経過した現在においても症例の蓄積が十分とは言えません。その知名度の低さから明らかな画像所見が存在するにもかかわらずWernicke-Korsakoff症候群と誤診されている症例も多いと考えられます。
慢性的なアルコール多飲者や栄養不良患者の意識障害、多彩な神経症状を認めた場合には本症を鑑別疾患の一つとして、今後挙げていただければ幸いです。
100本まで残り63本です。
Posted by Hiroki Matsuura - 2018.04.21,Sat
Clinical PictureがAcceptされました(36本目)
今回は希少なライソゾーム病であるFabry病に関するClinical PictureがAcceptされました。
タイトルは「Mulberry bodies: Fabry disease」です。
掲載雑誌は“Green Jounal”という別称をもつ著名な内科系雑誌「American Journal of Medicine (IF 5.55)」です。
Fabry病はライソゾーム酵素の一つであるαガラクトシダーゼが欠損・活性低下することで本来分解されなければならない糖脂質(GL-3)が様々な臓器に沈着し、様々な障害を引き起こします。
症状は沈着する臓器によって様々ですが、代表的な症状としては低汗症、四肢末端の疼痛、角膜混濁、心肥大に伴う心不全、早期の腎不全(50%の患者が43歳までに腎機能障害を呈し、53歳までに末期腎不全となるという統計あり)などが挙げられます。治療法は、本邦では2004年から2週間間隔の酵素補充療法が導入されており様々な症状の軽快が認められ有効であるとされています。
上記症状のうち特に身体所見は非常に漠然としたものであり、詳細な問診で鑑別疾患に本症があがるかがカギにになります。患者の腎機能、心機能を守るうえでも早期発見は重要です。「透析になってから見つかりました」では遅いのです。
また本症は伴性劣性遺伝疾患であるため1人の患者を見つけると芋づる式に患者が見つかる可能性があります。家族歴に若年での透析歴があったり、原因不明の心肥大などがあった場合には上記症状がないか確認するようにしましょう。
さて今回のClinical Pictureですが未治療のFabry病患者では尿沈渣で特徴的な渦巻き構造をもつMulberry小体があらわれます。なおMulberryは「桑の実」という意味です。このMulberry小体の発見が契機となり早期発見に至ったFabry病の症例報告は検索すると多数みつかります。
本症は酵素補充療法で患者の予後が大きく変化する治療可能な先天性疾患です。
そのため低汗症や四肢末端の疼痛を訴えられる患者が来院された場合は、家族歴を確認することにくわえて検尿を追加し、検査技師に対して「Fabry病を疑っていますのでマルベリー小体はありませんか」とコメントを忘れずに添えてオーダーし、早期発見に繋げてください。
100本まで残り64本です。
今回は希少なライソゾーム病であるFabry病に関するClinical PictureがAcceptされました。
タイトルは「Mulberry bodies: Fabry disease」です。
掲載雑誌は“Green Jounal”という別称をもつ著名な内科系雑誌「American Journal of Medicine (IF 5.55)」です。
Fabry病はライソゾーム酵素の一つであるαガラクトシダーゼが欠損・活性低下することで本来分解されなければならない糖脂質(GL-3)が様々な臓器に沈着し、様々な障害を引き起こします。
症状は沈着する臓器によって様々ですが、代表的な症状としては低汗症、四肢末端の疼痛、角膜混濁、心肥大に伴う心不全、早期の腎不全(50%の患者が43歳までに腎機能障害を呈し、53歳までに末期腎不全となるという統計あり)などが挙げられます。治療法は、本邦では2004年から2週間間隔の酵素補充療法が導入されており様々な症状の軽快が認められ有効であるとされています。
上記症状のうち特に身体所見は非常に漠然としたものであり、詳細な問診で鑑別疾患に本症があがるかがカギにになります。患者の腎機能、心機能を守るうえでも早期発見は重要です。「透析になってから見つかりました」では遅いのです。
また本症は伴性劣性遺伝疾患であるため1人の患者を見つけると芋づる式に患者が見つかる可能性があります。家族歴に若年での透析歴があったり、原因不明の心肥大などがあった場合には上記症状がないか確認するようにしましょう。
さて今回のClinical Pictureですが未治療のFabry病患者では尿沈渣で特徴的な渦巻き構造をもつMulberry小体があらわれます。なおMulberryは「桑の実」という意味です。このMulberry小体の発見が契機となり早期発見に至ったFabry病の症例報告は検索すると多数みつかります。
本症は酵素補充療法で患者の予後が大きく変化する治療可能な先天性疾患です。
そのため低汗症や四肢末端の疼痛を訴えられる患者が来院された場合は、家族歴を確認することにくわえて検尿を追加し、検査技師に対して「Fabry病を疑っていますのでマルベリー小体はありませんか」とコメントを忘れずに添えてオーダーし、早期発見に繋げてください。
100本まで残り64本です。
Posted by Hiroki Matsuura - 2018.04.09,Mon
Clinical PictureがAcceptされました(35本目)
今回はダニ媒介感染症である日本紅斑熱のClinical PictureがAcceptされました。
タイトルは「Japanese spotted fever」です。
今回はダニ媒介感染症である日本紅斑熱のClinical PictureがAcceptされました。
タイトルは「Japanese spotted fever」です。
掲載雑誌は英国内科学会の発行する内科学会「Quarterly Journal of Medicine(IF 3.1)」です。
「Japanese spotted fever(日本紅斑熱)」は1984年徳島県阿南市で馬原文彦先生によって発見された紅斑熱群リケッチア感染症です。近年感染者数が増加しており公衆衛生上大きな脅威となるダニ媒介疾患として知られています。以前も記載しましたが紅斑熱群リケッチアは細胞内寄生菌でありミノサイクリンやドキシサイクリン(他にニューキノロン系)が有効ですが、ペニシリンなどは完全に無効であるため、適切な治療開始が遅れるとDICに陥り死亡します。
今回の症例は他県から搬送されてきた日本紅斑熱の症例であり、搬送時にはすでに意識障害とDICに陥っており救命できず、残念ながら愛媛県初めての死亡例となってしまいました。
以前遭遇した香川県2例目の死亡例や今回の症例はいずれも、患者は当院(三豊総合病院)に搬送される前に近医開業医を受診され「感冒」と診断、内服処方→紅斑出現後再診され「薬疹」と診断→状態悪化→当院搬送という流れを辿っていました。さらに本件では患者や患者家族が受診した開業医に対して「ダニに刺された」と申告しているのにもかかわらず残念な結果となっています。
如何に身体所見と病歴聴取が重要であるか、また地域のHealthCare Providerがダニ媒介疾患について理解しなければならないか、そして地域への啓蒙活動がいかに必要であるか考えさせられる反省点の多い症例でした。
今回の症例は他県から搬送されてきた日本紅斑熱の症例であり、搬送時にはすでに意識障害とDICに陥っており救命できず、残念ながら愛媛県初めての死亡例となってしまいました。
以前遭遇した香川県2例目の死亡例や今回の症例はいずれも、患者は当院(三豊総合病院)に搬送される前に近医開業医を受診され「感冒」と診断、内服処方→紅斑出現後再診され「薬疹」と診断→状態悪化→当院搬送という流れを辿っていました。さらに本件では患者や患者家族が受診した開業医に対して「ダニに刺された」と申告しているのにもかかわらず残念な結果となっています。
如何に身体所見と病歴聴取が重要であるか、また地域のHealthCare Providerがダニ媒介疾患について理解しなければならないか、そして地域への啓蒙活動がいかに必要であるか考えさせられる反省点の多い症例でした。
元記事のリンクはこちら(追記:2018年10月19日)
なお本件以前の香川県での死亡例が出た際には。発生域内でのマダニのサーベイランスが行われる予定でしたがZika Virus感染症の発生と、予算・獣医師不足からサーベイランスは中止になった経緯があります。
四国は獣医師の数が少なく、加計学園の開学により獣医師不足の解消が期待されています。「獣医師は足りている」と主張する利権団体の傀儡のような某政治家の発言を見るたびに犠牲者が出ているのにも関わらず、獣医師不足からろくにサーベイランスも出来ない現状を理解しているのか、と腸が煮えくり返る気持ちになりました。
最後に2018年4月に加計学園に入学された皆様、周囲からの謂れなき非難に負けず、是非とも頑張っていただきたいと思います。
100本まで残り65本です。
なお本件以前の香川県での死亡例が出た際には。発生域内でのマダニのサーベイランスが行われる予定でしたがZika Virus感染症の発生と、予算・獣医師不足からサーベイランスは中止になった経緯があります。
四国は獣医師の数が少なく、加計学園の開学により獣医師不足の解消が期待されています。「獣医師は足りている」と主張する利権団体の傀儡のような某政治家の発言を見るたびに犠牲者が出ているのにも関わらず、獣医師不足からろくにサーベイランスも出来ない現状を理解しているのか、と腸が煮えくり返る気持ちになりました。
最後に2018年4月に加計学園に入学された皆様、周囲からの謂れなき非難に負けず、是非とも頑張っていただきたいと思います。
100本まで残り65本です。
プロフィール
HN:
Hiroki Matsuura
性別:
非公開
カテゴリー
最新記事
(02/10)
(08/20)
(10/31)
(09/18)
(07/29)
P R
Template by mavericyard*
Powered by "Samurai Factory"
Powered by "Samurai Factory"
