先日アクセプトされました「A forgotten disease in Japan」がEuropean Journal of Internal Medicine誌の2021年3月号に掲載されました。
今回の症例は、岡山県北部在住の高齢女性が突然の高熱と意識障害を呈して複数の医療機関を受診、状態悪化後に当院に搬送されMRIの特徴的な画像所見と髄液PCRから日本脳炎と確定診断されたケースです。
「日本脳炎 (Japanese Encephalitis)」を引き起こす日本脳炎ウイルスはデングウイルスやウエストナイルウイルスと同じフラビウイルス属に分類されます。本邦における感染源はブタであり、ウイルスを持つブタを吸血した蚊(コガタアカイエカ)がヒトを刺すことによって感染します。他のアジア諸国に比べて衛生状態が非常に良好な日本では本症の発症者数は年間数人から10名ほどで推移していますが、WHOによると東南アジアを中心に年間約70000人前後の感染者が発生し、20000人前後が死亡していると推計されています。
日本脳炎ウイルスに感染した場合、発症するのは0.1%から1%程度であり大多数の症例は無症候性に経過します。しかしながらいったん発症すると30%が死亡し、生存者の半数で深刻な後遺症が残るとされています。集学的な治療が発達した現代においても日本脳炎の全治率は約30%程度であり、この30年間でほとんど変化はありません。本症に対する特異的な治療法は開発されておらず対症療法が中心になるため何よりも予防が重要となります。
潜伏期間は6-16日間で、頭痛や悪心、嘔吐、高熱、急激な意識障害、項部硬直、筋強直、振戦、不随意運動を呈します。本症例でもこれらの典型的な症状が出現していました。しかし日本脳炎は前述のように発症数が非常限られており、診療経験のあるDrもほとんどいないことも影響してか、当院に搬送されるまで複数の医療機関を経由したものの全く鑑別疾患として考えられていませんでした。「日本」と冠された疾患ではありますが「日本からは忘れさられつつある疾患」という意味を込めてタイトルを付けました。
本症のMRI画像所見はT2強調画像で視床や脳幹、基底核を中心とする対称的な高信号域を示します。CTではほとんど異常は認められませんが、上記のような所見が比較的早期からあらわれるためMRIが有用です。類似する画像はヘルペス脳炎や抗NMDA受容体脳炎などですが、予防接種歴のない高齢者や東南アジアからの渡航者では本症を鑑別に挙げる必要があるでしょう。
今回、本誌は初めての掲載になりますがAcceptから本掲載までの時間がわずか1か月と非常に短く、とても驚いています。ImpressiveなClinical Pictureが多く、今後も掲載を狙っていきたいJournalです。
以下Journal記事のリンクです。
European Journal of Internal Medicine
Internal Medicine Flashcards
「A forgotten disease in Japan」
ぜひともご参照ください
Amiodaroneは難治性、致死性の不整脈に古くから使用されている抗不整脈薬です。難治性の心房細動や心室細動にくわえ、低心機能や肥大型心筋症に伴う心房細動が適応になります。特殊な作用機序を有しており、治療抵抗性の不整脈に対して「替えのきかない」重要な薬剤であるという反面、非常に多くの副反応を有します。代表的な副反応には本症例のようなアミオダロン肺障害、甲状腺機能異常、肝障害、角膜障害、色素沈着などが挙げられます。アミオダロンは製剤100mgのうち37mgもヨウ素が含まれており、非常に脂溶性の高い構造をしていることにくわえ半減期が長いことから、長期間の使用で臓器への蓄積が起こりやすいのです。
これらの副反応のうちとりわけ危険性が高く、ときに致死性の経過を辿るのが本剤による肺障害です。既報によると年齢が60歳以上、投与期間が半年以上の群で高リスクとされています。また総投与量も重要であり101gを超えると、肺障害のORは10倍に跳ね上がります。
本症例では新型コロナウイルス感染症流行の影響もあり、原因不明の肺炎として診断に至るまで長い時間を要しました。経過中にあらためて撮影されたCTを確認すると体型や生活習慣に不釣り合いなほどCT値の高い肝臓が目を引きました。これはアミオダロンの長期使用の影響でヨウ素が肝臓に沈着し、まるで造影剤のように肝臓の輝度を引き上げていたことが理由です。肝臓の輝度の高さからアミオダロンによる臓器障害を疑い、本剤を中止したところ肺障害は改善しました。
「クスリはリスク」という言葉の意味を日々の診療で嫌というほど味わいますが、今回の症例はその中でも格別で、急速に進行する呼吸障害から一時は気管挿管まで至った非常に危険な一例でした。アミオダロンは特に副反応の種類が多いことから、私たち臨床医が常に注意しなければならない薬剤といえるでしょう。
100本まで残り33本です。
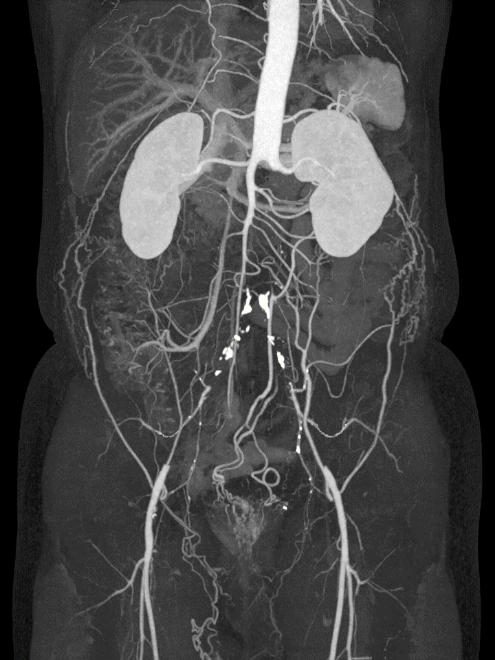
Leriche症候群は動脈硬化を主な要因とし、腹部大動脈下端から総腸骨動脈にかけて慢性の大動脈閉塞症を来たす疾患です。造影CTでは腎動脈以下の腹部大動脈本幹が描出されず、以下のような衝撃的な画像を示します。
元画像のリンクはこちら(追記:2021年9月7日)
本症の古典的な三徴は①間欠性跛行 ②下肢脈拍消失 ③勃起不全です。しかしながら本症では慢性的に発達した側副血行路により下肢や骨盤腔内臓器の血流が維持されており、派手な画像所見に比べると症状は軽微であったり無症候性であることも珍しくありません。そのため本症の診断には身体所見が診断の大きな手掛かりになりえます。間欠性跛行を示す疾患はほかにASOや腰部脊柱管狭窄症などが挙がりますが、Leriche症候群を忘れないようにしましょう。両下肢の動脈触知を丁寧に行い、脈拍だけではなく「左右差」を評価することも必要です。
前述のように本症の原因は動脈硬化に起因するものが多数を占め、冠動脈疾患や腎機能障害を併う場合があることから併存疾患の検索が重要です。特に虚血性心疾患の合併が目立つことから、心機能や冠動脈の評価を行いましょう。
足趾の血流障害が強い、あるいは間欠性跛行の増悪が著しい症例に対しては外科的にバイパス術を行います。また内服療法としてはシロスタゾールやアスピリンなどの抗血小板薬が推奨されています。
100本まで残り34本です
日経メディカル姉妹誌で若手医師と医学生のためのサイト「Cadetto.jp」にて、2019年1月より連載中の「撮っておきClinical Picture!」ですが、2021年1月29日付で新しい記事が掲載されました。
なんと連載2周年になりました。これからも細々と続けて参りますので、何卒よろしくお願い申し上げます。
皆さんにとっても身近な果物ですが、ときに思いも寄らぬ疾患の原因になることがあります。
「腹も身の内」食べ過ぎにはくれぐれも注意しましょう。
医師に勧めたい小説を紹介します。今回ご紹介するのは破傷風に罹患した少女の闘病とその家族を描く「震える舌」です。これは作者・三木卓の実娘が破傷風に罹患した経験をもとに書かれました。何気ない日常生活を過ごす幸せな一家は突然の病魔の襲来に翻弄され追い詰められていきます。
「破傷風」は破傷風菌によって引き起こされる感染症で、本邦では年間100件前後の報告があり、感染症法では5類感染症に指定されています。破傷風菌は嫌気性であり、芽胞を形成して広く土壌に存在します。この破傷風菌が創傷を介して体内に入ると、神経毒である「テタノスパスミン」を産生します。「テタノスパスミン」は末梢神経終末において抑制性神経伝達を減少させる働きをもち末梢運動神経、脳神経、交感神経を過活動状態に陥らせます。このようにして破傷風の特徴的な神経症状である強直性痙攣が生じるのです。
破傷風は予防接種の普及により症例数が大きく減少しました。しかしながら1968年以前の出生者ではこれらの予防接種は実施されていないため、発症のリスクが高いと考えられます。
破傷風の診断が難しいのは特異的な検査がほとんど存在しないことが挙げられます。また衛生状態の良い日本では症例数が限定され診療経験のある医師が少ないことも一因です。私が経験した症例でもERに搬送された患者を診て「破傷風」を想起した救急医は一人もいませんでした。さらに項部硬直にばかりに注目し、意識障害がないのに病歴聴取も行われず「髄膜炎」と決めつけられて腰椎穿刺が行われる寸前でした(初期研修先や現勤務先の症例ではありません)。作品の中でも病歴聴取と身体所見を疎かにする研修医の「ゴミ箱診断」により診断が遅れる場面が描かれています。
本作品は1980年に実写映画化もされており、子役の鬼気迫る演技が話題となり「ホラー映画よりも怖い作品」として知られています。破傷風の経過を見るにはうってつけの教材です。ぜひともご覧ください。
|
価格:1,155円 |
|
価格:2,750円 |
Powered by "Samurai Factory"
